É a área da Odontologia que corrige o mal posicionamento dentário
Cães e gatos podem apresentar dentes mal posicionados, que trazem prejuízos para a função mastigatória.
Em alguns casos, podem inclusive causar lesões na boca se estiverem em contato com os tecidos orais ou com outros dentes. Nestes casos, especificamente, o tratamento ortodôntico deve ser realizado para corrigir o dente (ou dentes) mal posicionado(s), melhorando a mastigação e eliminando as lesões que causam dor.
Um exemplo desta maloclusão é a erupção de dentes caninos inferiores permanentes na direção do palato. Quando o animal fecha a boca, os dentes tocam no céu da boca e causam uma perfuração da mucosa (alguns casos podem perfurar o osso), causando muita dor.
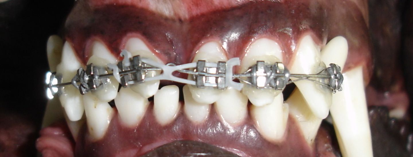
Confira abaixo um exemplo de aparelho ortodôntico em cão, utilizado para corrigir caninos inferiores lingualizados:




Entretanto, alguns animais podem apresentar alterações de oclusão mais graves, chamadas de maloclusão esquelética, onde os ossos da mandíbula ou maxila encontram-se com alguma desproporção em comprimento. Neste caso, aparelhos ortodônticos podem melhorar o posicionamento de alguns dentes, reduzindo o desconforto, porém, apenas a cirurgia ortognática é capaz de corrigir o alinhamento dos ossos da mandíbula e maxila.
A cirurgia ortognática em cães já é uma realidade, porém, indicada em casos muito específicos, onde é preciso corrigir traumas decorrentes da maloclusão da mandíbula. A técnica foi descrita pela primeira vez no mundo pela Dra. Vanessa G G Carvalho em sua tese de doutorado. Saiba mais